啄木鸟

啄木鸟

| 联系我们 |
啄木鸟动态
   
停诊公告:




您当前位置:啄木鸟 > 啄木鸟动态  > 啄木鸟新闻
啄木鸟新闻

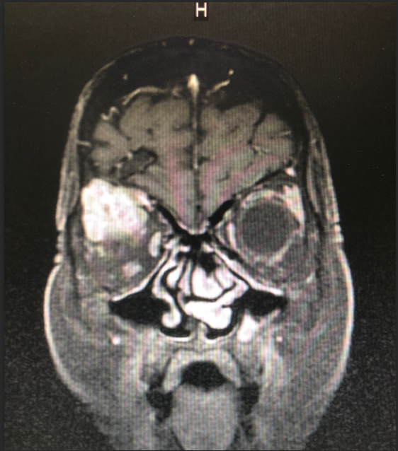
神经外科成功开展啄木鸟 首例完整切除颅内外沟通瘤并颅底眼眶重建修复手术

稿件来源:神经外科 雷超      编辑:杨光      上传时间:2019年1月8日
       2018年12月24日,啄木鸟 神经外科成功开展了首例“完整切除颅内外沟通瘤并颅底眼眶重建修复手术”,手术非常顺利,患者术后已拆线出院。
       患者王女士,79岁,女性,2周前出现右眼疼痛,眼球突出,随后眼痛逐步加重,右眼视力急剧下降。在当地医院被诊断为眼眶内肿瘤,需手术治疗。但因患者眼眶肿瘤突破眼眶,向颅内生长,手术难度大。患者先后辗转多家医院眼科均无功而返。患者右眼疼痛难忍,最终选择到啄木鸟 寻求最后的帮助。
       啄木鸟 神经外科团队接诊后对患者进行了全面检查,诊断为右眼眶肿瘤。因患者肿瘤向颅内生长,颅底及眼眶骨质已完全破坏,传统的手术方式不仅创伤大,更可能因为颅底结构无法完全重建导致患者脑脊液漏,引起颅内感染。神经外科联合眼科进行了手术方式的讨论,根据术中可能出现的各种情况其制定了详细的治疗方案,认真完善术前准备后,于2018年12月24日成功为其开展“完整切除颅内外沟通瘤并颅底眼眶重建修复手术”,手术过程非常顺利,术后患者无视神经损伤,视力较术前明显改善。目前患者已康复出院。
       颅底眼眶疾病是神经外科与眼科的交叉区域,我科该手术的成功开展,不仅标志着我科对眼眶骨折修复及颅底眼眶肿瘤手术新领域的开拓,也将为眼眶疾病的患者带来福音。