啄木鸟

啄木鸟

| 联系我们 |
啄木鸟动态
   
停诊公告:




您当前位置:啄木鸟 > 啄木鸟动态  > 啄木鸟新闻
啄木鸟新闻

啄木鸟 再度领跑西北地区--率先完成西北地区首例ozurdex治疗CRVO病例

稿件来源:眼科门诊 陆慧琴      编辑:尹琦      上传时间:2018年3月6日
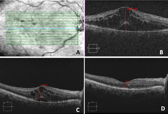
       2018年02月,啄木鸟 眼科眼底病团队率先完成了西北地区首例玻璃体腔注射ozurdex治疗CRVO。患者男性,50岁,右眼视物模糊1月,经啄木鸟 陆慧琴主任诊断为右眼视网膜中央静脉阻塞并黄斑水肿(图A),向患者详细交代病情及目前可采取的两种治疗方法的利弊--抗新生血管药物和ozurdex后,患者决定自愿接受ozurdex治疗,于2018年02月13日在局部麻醉下成功为这位患者植入傲迪适(地塞米松玻璃体内植入剂),这是傲迪适在中国上市以来,西北地区首例成功植入傲迪适治疗CRVO的手术。手术由陆慧琴主任操作完成。患者右眼术前视力0.2,眼内压15mmHg,CRT为846um(图B);术后第一天视力0.4,眼内压13mmHg, CRT降556um(图C);术后第九天视力0.5,眼内压14mmHg,CRT降至231um,黄斑水肿完全消失(图D)。术后眼部炎症反应轻、未见明显结膜下充血。
       视网膜静脉阻塞(RVO)是继糖尿病性视网膜疾病的第二大常见的视网膜血管疾病,是突发的、无痛性、单眼视力损害的最常见原因之一。据估计,中国的RVO患者约有740万人。RVO患者如未经治疗,会导致黄斑水肿致严重视力损害。炎症是RVO继发黄斑水肿的重要因素。傲迪适®能够抑制炎症介质,快速且持续性改善患者的视觉功能。
       又一海外新疗法登陆中国,啄木鸟 西安市眼科医院率先引进。
       啄木鸟 是市属公立三级甲等综合医院。西安市眼科医院、陕西省眼科研究所、陕西省眼科疾病临床医学研究中心、西安市眼库依托于啄木鸟 ,是我国西北地区集临床、科研和教学培训于一体的现代化眼科中心。西安市眼科医院优秀的眼底内科团队以陆慧琴主任为核心,突出擅长年龄相关性黄斑病变、糖尿病视网膜病变及视网膜静脉阻塞等多种常见眼底疾病的诊断和治疗。